GET A HEAD START ON A BEAUTIFUL SMILE!
Children's Orthodontics
1-844-900-4969
Early evaluations = fewer problems later
The American Association of Orthodontists (AAO) recommends that all children between the ages of 7 and 8 have an initial orthodontic screening. Early assessment helps identify and correct potential issues while kids jaws are still developing, and adult teeth are coming in. An Orthodontist is looking for different things than your pediatric dentist. As permanent teeth come in, bite or jaw issues often get worse-not better. You should check in with an Orthodontist around the time the Tooth Fairy is visiting on a regular basis!
Let us help you determine the right treatment at the right age! That's why we make these early-care checks FREE to ensure your child's smile grows as beautifully as they do!

Benefits of early care:
-
- Monitor space as larger teeth come in
-
- Track jaw and bite development
-
- Prevent future alignment issues
-
- Support for parents every step of the way
-
- Improved self-esteem at an earlier age
-
- X-Rays of whole mouth - sometimes, at this age, issues aren't visible
Fill out this form to find out more about the Growth Guidance Program and you'll hear from a member of our team to make sure your child gets timely care.
NO DENTIST REFERRAL NEEDED!
IF YOU ARE A CURRENT OR FORMER PATIENT, PLEASE CALL OUR OFFICE DIRECTLY AT (844) 900-4969.




5-STAR CARE
WE LOVE TO WOW! KIDS (and parents)
JUST CHECK OUT OUR REVIEWS
WHAT MAKES
WOW! Smiles different?
"At WOW! Smiles we're all about what's the best thing for the patient so everything we do and every way we do it is always done with intention of what is the best thing for our patients..."
My daughter and I were made to feel so at ease, and very well informed/educated, on all levels, from day one. The staff at WOW! is amazing as well and very kind. Thank you WOW! for treating us so well and thank you for making this possible. If it was not for your affordable payment plan, I may not have been able to do this for my child. You all are fantastic!
JAYMI L.
My son loved his visit, and left with a smile as they wished him a happy birthday and fun travels.
KRYSTEN T.
WOW! Smiles lives up to its name! I was in WOW with this place, the people here are very kind and friendly. My 8 y/o was scared to come in. After some time with the staff she felt comfortable and opened up immediately. We look forward to coming here for my daughters treatment.
DAYNA P.
WOW smiles has been nothing short of efficient, effective; making it a much enjoyable experience for my 10 year old. They explain everything clearly, they have affordable monthly payments, and you just feel like you are in the right hands. May they keep helping children and adults feel beautiful, comfortable and confident.
NATALIE K.
WHY CHOOSE SMILES?
Choosing the right orthodontist for your child is a big decision—so why not choose one that truly WOWS you?At WOW! Smiles, “WOW” isn’t just our name—it’s our mission. From cutting-edge technology to an unforgettable experience and, of course, the amazing smile your child will achieve, everything we do is designed to leave you saying WOW. From the moment you step through our doors, we’re here to make orthodontic care easier, more comfortable, and way less intimidating—especially for our youngest patients!
Remember those old-school expanders and clunky headgear from your childhood? Yeah...most offices still use them. But let's be real—they're uncomfortable, awkward, and a hassle for both kids and parents. We knew there had to be a better way—so we created one!
When you choose WOW! Smiles, you're choosing a practice led by one of the most respected early orthodontic treatment experts in the field (he even teaches other orthodontists across the country!). Our very own Dr. Rael Bernstein, developed and patented a breakthrough system just for kids: The Berni-Tube Phase 1 Orthodontic System. As a patient of WOW! Smiles™, you can rest assured that we have you and your child’s very best interest at heart.
When Dr. Bernstein had braces as a kid, they were painful and uncomfortable. That experience inspired him to reinvent early orthodontic treatment. Enter the Berni-Tube Phase 1 Orthodontic System—a modern, kid-friendly approach that gently creates space for growing teeth without extractions or fixed expanders. It’s more comfortable, more efficient, and used exclusively by our team at WOW! Smiles. Because our patients deserve more than outdated methods—they deserve the best!
Modern Expansion
Berni-Tube Technology
Gentle Arch Wire Expansion
Traditional Expansion
Rapid Palatal Expander
Uncomfortable with Heavy Forces
MEET THE WOW! SMILES TEAM
At WOW Smiles!, we’re all about good vibes, great smiles, and getting to know you.
Our bilingual team is not just super skilled - they’re also fun, friendly, and love making your visits the best part of your day. From day one, you’ll walk out with a game plan, feel totally in the loop, and know exactly how we’ll help you rock that WOW! smile!
YOU’LL LOVE OUR OFFICE!
Our office is state-of-the-art, clean, fun, bright and warm! You’ll be saying WOW! from the minute you walk through the door!
From the friendly staff, to the comfy chairs and fun colors, we want to WOW! you and make the experience as fun and easy as possible for you and your kids.
MEET YOUR ORTHODONTISTS
EARLY TREATMENT FAQ'S
FINANCES & INSURANCE
WOW! Smiles was founded on the idea that everyone deserves a beautiful, confident smile. That means that finances shouldn’t be an obstacle to reaching that smile or enjoying great orthodontic care. The total cost of early treatment varies depending on treatment complexity and type and the need for a second stage of treatment after the early treatment goals have been achieved. Many parents are pleasantly surprised to learn that here at WOW! Smiles we are able to make your child’s early treatment more affordable than
expected.
Get a wide range of financing options for early treatments, including:
-
- 0% interest financing
- No large down payment required
- Flexible monthly payments to fit your family's budget
- Most PPO insurance plans accepted
- A Referral Program to skip a Payment when you refer your friends
For your convenience, we accept Visa, MasterCard, American Express, and Discover. We also offer an online account management service to easily make payments and keep track of your appointments.
ORTHODONTIC INSURANCE
Our office makes every effort to make orthodontic treatment affordable and accessible, which means working with your insurance plan to maximize coverage. We accept most PPO Insurance Plans and will file claims on your behalf.
Please make sure you provide us will all your insurance information prior to your first visit, so we can verify how much your plan will cover.
If you have any questions, please ask us. Our financial team stays up-to-date on insurance policy changes and can answer any questions you may have.
EARLY TREATMENT PROCESS
Kid’s Growth Guidance Program
Get started with this program to help track your child’s jaw growth and bite development over time. Joining this program means your child will come for free visits, where we may take orthodontic records and X-rays. The Doctor will help you determine the best time to start treatment, if needed, saving you time and money.
When younger children need early interceptive treatment, we separate orthodontic treatment into two phases, with each stage beginning at the appropriate time.

Phase 1
Phase 1 typically starts when kids are 7-10 years old. The goal of this phase is to create expansion and make room in the mouth and jaw for new teeth to come in. Phase 1 can take anywhere from 12-18 months. As kids teeth grow in it’s a lot like trying to fit a SUV into a compact parking spot! Phase 1 treatment gives that “SUV” a larger space to fit into!
Phase 2
After a resting period to let your child’s teeth grow in completely, Phase 2 can begin, if needed. Phase 2 treatments usually start between age 12-14 years. The treatment takes up to 18 months to complete.
The Benefits of Starting Treatment Early include:
-
- Less need to pull teeth
-
- Less time in full braces
-
- Improved self-image
-
- Less need for jaw surgery
-
- Broader, fuller smile
-
- Improved function
-
- Improved nasal airway
ABOUT OUR 2 TREATMENT PHASES
When younger children need early interceptive treatment, we separate orthodontic treatment into two phases, with each stage beginning at the appropriate time.
Phase 1
- Ages 7-10 years
- Active treatment for 12-18 months
Before Phase 1
Resting Period
- Ages 10-12 years
- Retainers for 12-24 months
After Phase 1
Phase 2
- Ages 12-14 years
- Active treatment for 12-18 months
After Phase 2
Learn More at Your Free Consultation
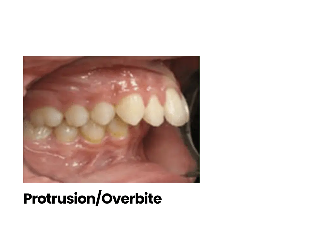
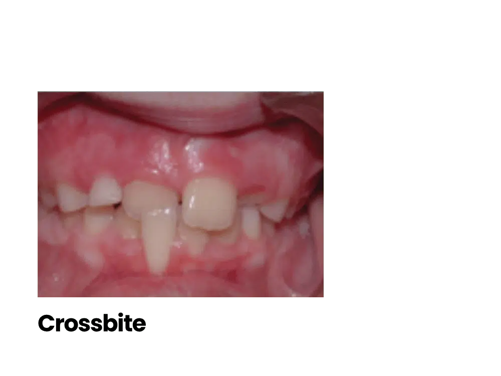
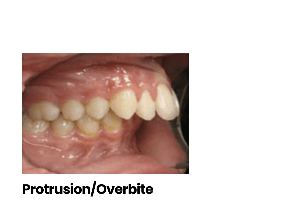
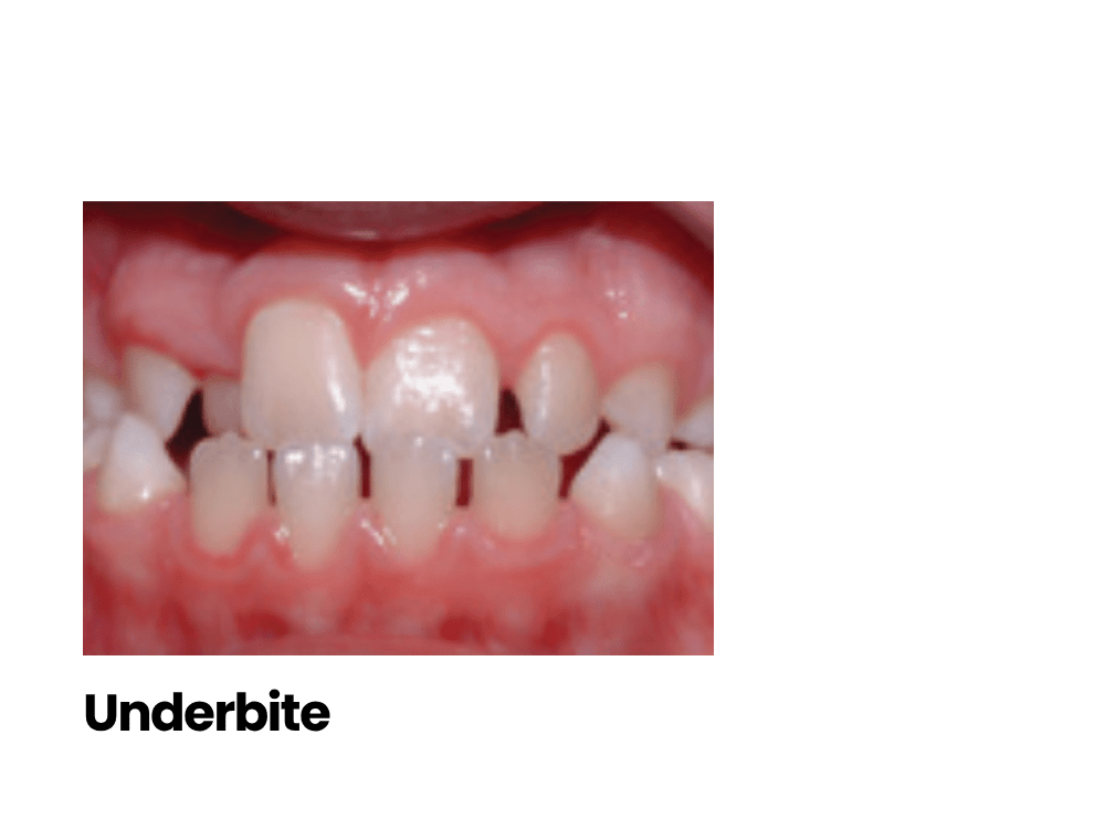
If your child has a dental issue, please contact us by setting up a free consultation.
We can talk about your child's orthodontic options and develop a treatment plan customized to your child's needs.
REQUEST YOUR FREE CONSULTATION TODAY!
Schedule your free consultation exam. Just fill out this quick form and our team will call you to find a time that works for you!
If you are a current or former patient, please contact our office directly at (844) 900-4969.
NO DENTIST REFERRAL NEEDED.

Dr. Sierra Burick
Dr. Rael Bernstein
Dr. Wendan Li
Dr. Cheryl L. Held
Dr. Naveen




