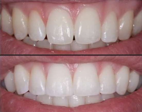
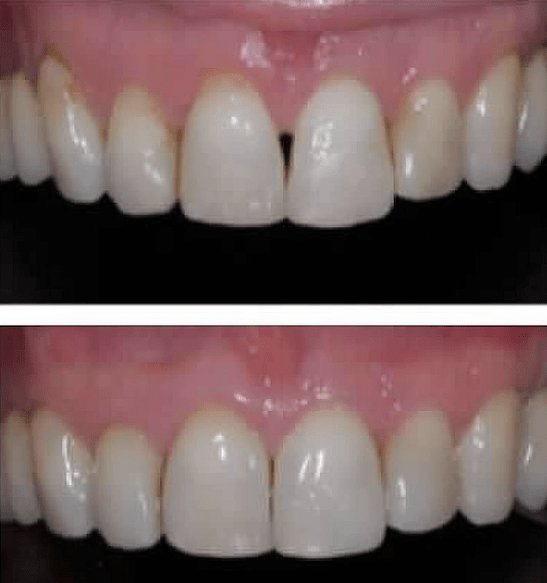
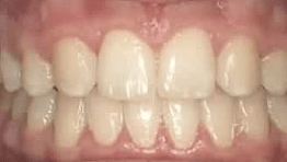
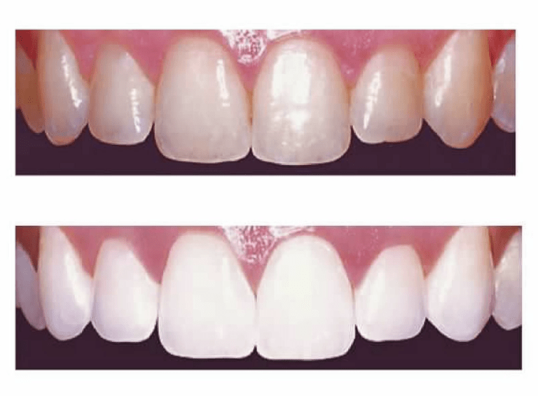
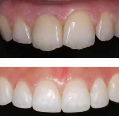
Enhance Your Smile After Braces
Nothing boosts your confidence quite like a bright, healthy smile.
These before and after photos showcase the results you can get from cosmetic dental procedures after your braces treatment at WOW! Smiles.
Talk to your primary care dentist to put the finishing touches on your new WOW! smile based on the size and shape of your teeth and gums.
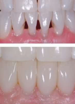
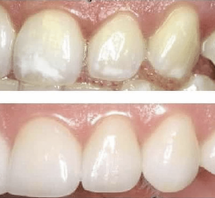
White Spot Removal
The following procedures and products should be performed or purchased at your primary care dentist or a cosmetic dentist.
Please ask your orthodontic team if you need a new primary care dentist or a cosmetic dentist - we’d be happy to refer you to one in your area.
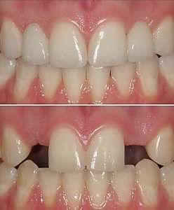
MI Paste



















